Radiografía periapical | Diagnóstico preciso para personas y animales

La radiografía periapical es una de las pruebas más utilizadas en el diagnóstico odontológico por su capacidad para mostrar con gran claridad uno o dos dientes completos, desde la corona hasta el ápice de la raíz y el hueso que los rodea. Esta información resulta esencial para tomar decisiones clínicas acertadas tanto en pacientes humanos como en animales.

Profesionales de la salud y responsables de clínicas confían en este estudio porque permite detectar alteraciones que no son visibles durante la exploración clínica, mejorando la planificación de tratamientos y el seguimiento de procedimientos dentales.

¿Qué es y qué información aporta?

La radiografía periapical dental es una técnica intraoral que genera una imagen radiográfica detallada del diente y sus estructuras de soporte. Gracias a esta visualización, el profesional puede identificar infecciones, fracturas, caries profundas y cambios en el hueso de forma temprana.

Su uso es habitual en consultorios odontológicos, clínicas médicas y centros veterinarios que cuentan con equipos de rayos X dentales de calidad, ya que aporta datos fiables para el diagnóstico dental diario.

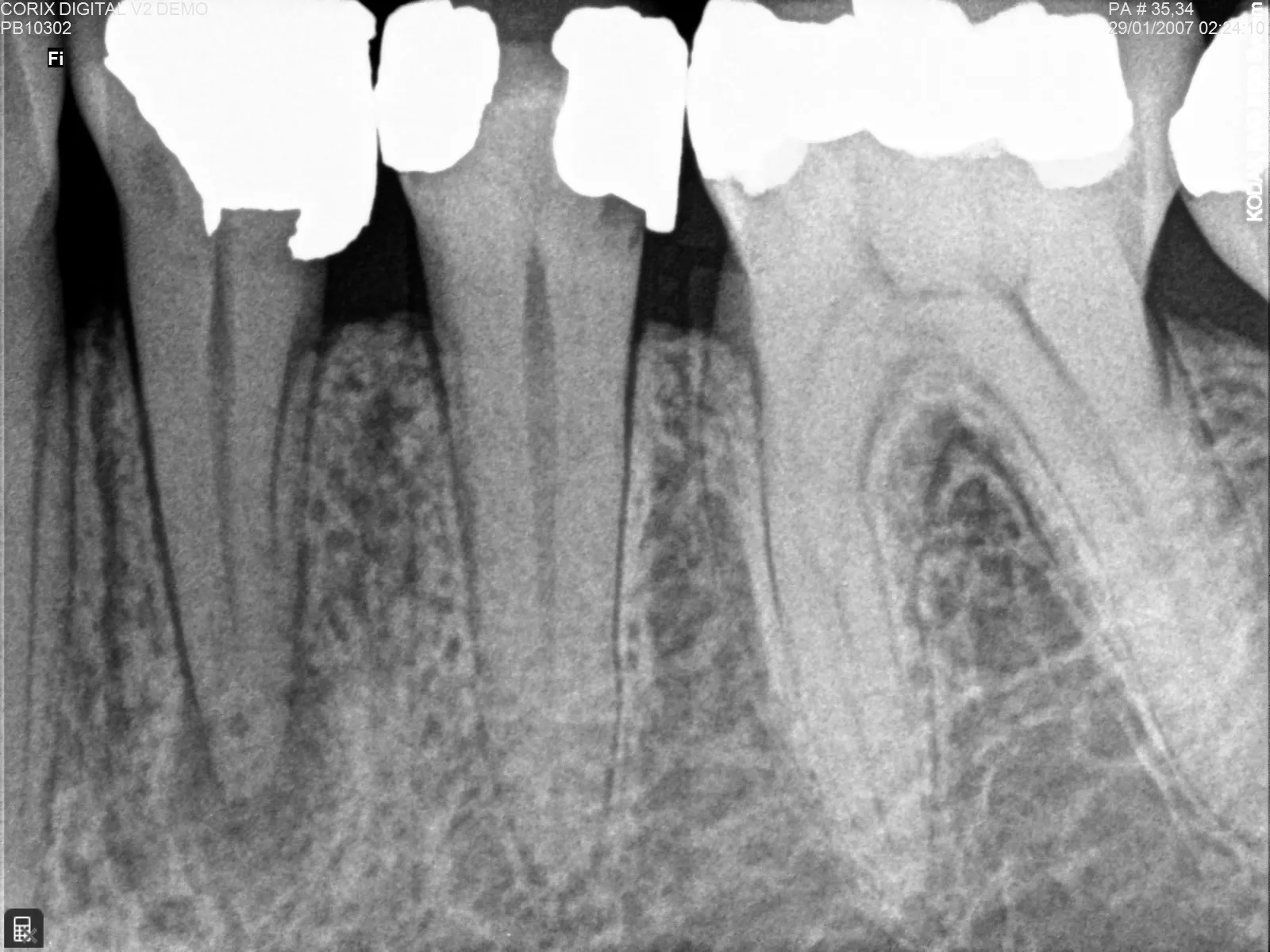
Radiografía periapical dental donde se observan raíces, hueso alveolar y tejidos de soporte para análisis clínico y diagnóstico odontológico

Principales ventajas clínicas

El valor de la radiografía periapical se refleja en múltiples beneficios prácticos:

Permite evaluar con precisión raíces y hueso circundante
Facilita la detección temprana de lesiones periapicales
Apoya tratamientos de conductos radiculares
Reduce errores en la planificación clínica
Es aplicable en personas y animales pequeños y medianos

Estas ventajas hacen que sea una prueba habitual tanto en odontología humana como veterinaria.


Indicaciones más frecuentes en la práctica clínica

Evaluación detallada del diente

Cuando existe sospecha de daño interno, esta proyección ofrece una visión clara del problema. Es especialmente útil en casos de enfermedad periodontal, donde puede observarse pérdida ósea o acumulación de cálculo bajo la encía.

Tratamientos endodónticos

Durante procedimientos de endodoncia, la radiografía periapical permite confirmar la longitud del conducto, evaluar el estado del hueso y verificar los resultados antes y después del tratamiento.


Diagnóstico de caries profundas

En lesiones avanzadas, esta imagen ayuda a valorar si la caries ha alcanzado el nervio, permitiendo decidir el tratamiento más adecuado.

Control de implantes dentales

Es habitual realizar controles periódicos para verificar la estabilidad del hueso alrededor del implante y detectar problemas de forma temprana.

Radiografía periapical de alta calidad que facilita la identificación temprana de problemas dentales y óseos en diagnóstico clínico.

Ejemplos clínicos en odontología y veterinaria

En odontología humana, la radiografía periapical se utiliza desde revisiones de rutina hasta cirugías complejas. Su capacidad para mostrar detalles finos la convierte en un apoyo constante para el profesional.

En veterinaria, este estudio es clave para evaluar piezas dentales en perros, gatos, aves y otros animales. Permite detectar fracturas, infecciones o problemas dentales que afectan directamente a la calidad de vida del paciente animal.

¿Cómo aplicar correctamente esta técnica?

Para obtener resultados confiables, es importante seguir un proceso sencillo pero preciso:

Colocar correctamente las placas o sensores
Cuidar el posicionamiento del sensor dentro de la cavidad oral
Ajustar adecuadamente el equipo de rayos X
Verificar la calidad de la imagen obtenida

Una correcta ejecución facilita la interpretación radiográfica y evita repeticiones innecesarias.


Uso del equipo de rayos X dental

El uso principal de un equipo de rayos X dental es la obtención de radiografías periapicales de alta resolución. Estas imágenes permiten:

Detectar caries ocultas
Evaluar raíces y hueso
Planificar tratamientos odontológicos
Monitorear la evolución clínica

La radiografía periapical es, por tanto, una herramienta indispensable en cualquier consulta que busque precisión y eficiencia.

Aplicación en clínicas veterinarias

En el ámbito veterinario, los equipos de rayos X permiten obtener imágenes dentales claras en animales pequeños y medianos. Estas pruebas complementan la evaluación clínica y facilitan diagnósticos rápidos y confiables.

La posibilidad de aplicar esta técnica en distintas especies amplía las capacidades diagnósticas del centro veterinario.

Radiografía periapical ilustrada que explica paso a paso la correcta técnica de posicionamiento intraoral para obtener imágenes diagnósticas claras y precisas

Tecnología confiable para resultados profesionales

En Corix Medical Systems®, ofrecemos equipos de rayos X intraorales y sistemas de radiología digital diseñados para optimizar la obtención de imágenes periapicales. Nuestros equipos ayudan a reducir la exposición y mejorar la precisión diagnóstica en odontología y veterinaria.

¡Potencia tus diagnósticos con precisión!